Join us for the NeuroNet 2025 Annual Summit on January 30th in Nashville!

Portable MRI

Bring Advanced Neuroimaging to Your Practice with Portable MRI

Neuroimaging is a cornerstone of neurological care, with a typical neurologist ordering 500–600 MRI scans every year. But for many independent practices, traditional MRI has long been out of reach due to high costs, significant infrastructure requirements, and complex implementation.

Portable brain MRI now makes in-office imaging a practical and affordable option for community-based neurologists. This technological innovation—with a small footprint, simple setup, and dramatically lower cost—lets you bring advanced neuroimaging directly to your practice. It can improve access, facilitate care, and enhance patient satisfaction.

The Benefits of On-Site Neuroimaging

Accelerate Care Decisions
Get answers quickly to inform treatment decisions and ease anxiety.

Enhance Patient Experience
Provide a comfortable and convenient MRI experience for your patients.

Strengthen Practice Viability
Capture imaging revenue in-house instead of referring to external parties.

Simplify Operations
Portable systems fit in a standard exam room and can be run by your existing clinic staff.

About the Swoop® System

The Swoop® system is an AI-powered, portable brain MRI that delivers diagnostic-quality images using a magnet with a fraction of the field strength of conventional MRI, making it safe, affordable, and effective for in-office use.

Compact
Fits easily in most exam rooms (approx. 3’ x 5’), without the need for dedicated suite or special infrastructure.

Plug and Play
Plug into a standard outlet and start scanning within minutes using the intuitive tablet interface.

Patient Comfort
Minimize anxiety and claustrophobia with a quiet, open design that allows loved ones to be nearby.

Reimbursement Eligible
Practices with IAC Accreditation can bill using existing codes (CPT 70551).

Affordable
Costs far less than conventional MRI and is quick to implement.

Live Webinar Recording

Discover how in-office brain imaging can transform your neurology practice. This webinar recording highlights real cases where accessible, portable brain MRI enhanced diagnostics, decision-making, and patient satisfaction. 

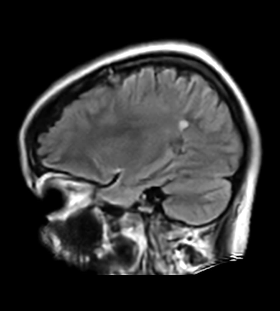
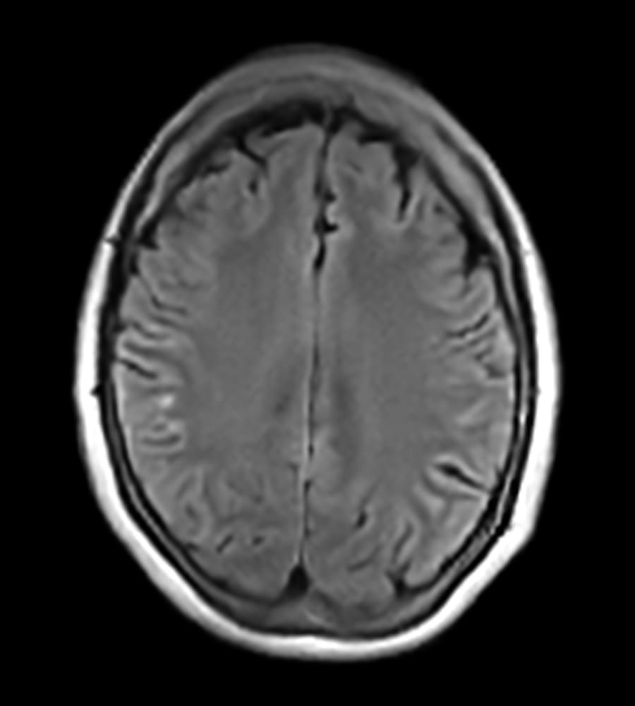
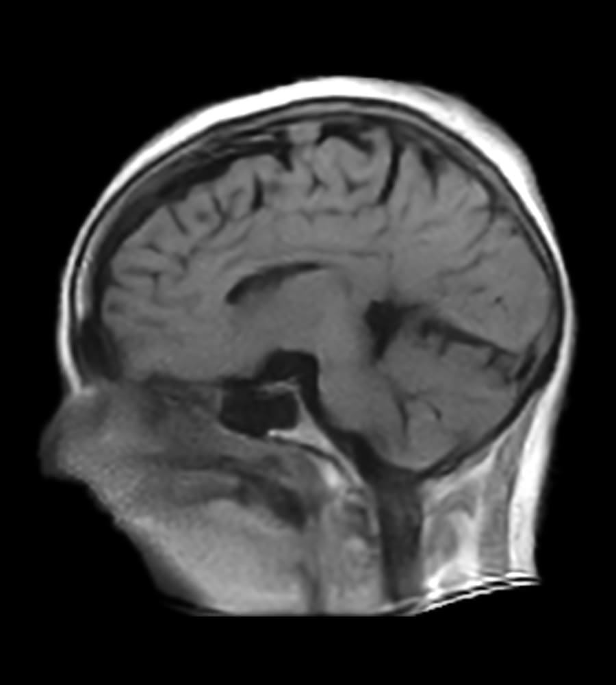
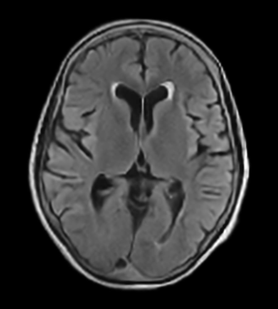
Clinical Images

Clinical case types: Headache, Migraine, Multiple Sclerosis, Micro Vascular Disease and Tumor Routine Follow-up.